- Tilstander
- Corpus liberum
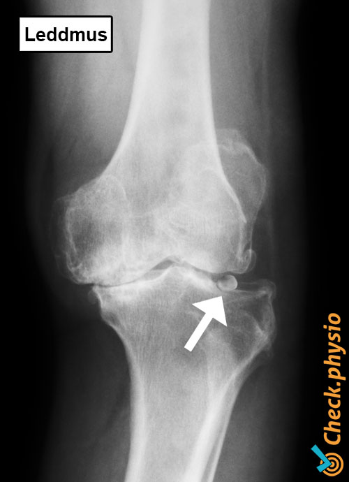
Corpus liberum Leddmus / løst fragment i leddet
Introduksjon
Et corpus liberum er et løst stykke brusk- eller benvev som flyter fritt i leddet. På folkemunne omtales dette som en 'leddmus'. Dette kan gjøre at leddet ikke lenger beveger seg som det skal.
Siden bruskvev får næring fra leddvæsken (synovia), kan et løst svevende bruskstykke over tid vokse seg større.

Beskrivelse av tilstanden
Et corpus liberum kan hindre normale bevegelser i et ledd, noe som gjør at leddet kan 'låse seg'. Bevegelsen blokkeres da (midlertidig). I prinsippet kan et corpus liberum forekomme i alle ledd, men de sees oftest i kneet og albuen.
Årsak og opprinnelse
Et corpus liberum kan oppstå i alle aldre, ofte med ulike underliggende årsaker. Hos barn kan det skyldes dårlig blodtilførsel til benet, noe som gjør at et stykke ben og brusk løsner (osteochondritis dissecans).
Hos eldre ser man ofte at corpus liberum er et resultat av artrose. Ved denne tilstanden svekkes kvaliteten på brusken og biter kan løsne.
Noen ganger er det løse brusk- eller benstykket et resultat av et brudd (fraktur) etter en ulykke.
Plager og symptomer
Et corpus liberum trenger ikke alltid gi plager, men kan forårsake låsningsplager. Dette betyr at leddet plutselig blokkeres. Man kan ofte kjenne noe bevege seg i leddet når det løse stykket presses til siden under trykk.
Plagene kan merkes på ulike steder i leddet fordi vevsstykket kan flytte på seg. Av og til virker det som om problemet er løst, fordi corpus liberum befinner seg på et sted som ikke gir symptomer. Dessverre dukker ofte plagene opp igjen på et senere tidspunkt.
Det er en risiko for at den løse delen skader leddet. Hvis corpus liberum fører til en betennelsesreaksjon i leddet, kan pasienten oppleve et rødt, varmt, hovent og smertefullt ledd.
Diagnose
Diagnosen stilles som regel basert på pasientens sykehistorie. Ved klinisk undersøkelse av leddet forsøker legen eller fysioterapeuten å fremkalle symptomene, noe som ikke alltid er mulig. Tilleggsundersøkelser er nødvendig for å gjøre corpus liberum synlig. På en røntgen eller MR er corpus liberum ofte lett å oppdage.
Behandling og bedring
Et corpus liberum fjernes i de fleste tilfeller ved kikkhullskirurgi (artroskopi). Dette forhindrer ytterligere skade på leddet.
Hvis det gjelder et større stykke ben og brusk som har brukket løs (for eksempel ved osteochondritis dissecans), forsøker man ofte å feste det tilbake på plass ved operasjon.
Etter en operasjon forsvinner ofte plagene så lenge det ikke er betydelig ledsagende skade.
Mer info
Du kan kontrollere dine plager med den nettbaserte fysioterapisjekken eller bestille en time hos en fysioterapiklinikk i nærheten.