- Tilstander
- Plantar fascitt
Plantar fascitt Hælspore / plantar fasciosis / plantar fasciopati / plantar hælsmerte
Introduksjon
Hælsmerter kan ha ulike årsaker. Når man har vondt under foten i området ved hælen, brukes ofte betegnelsen "hælspore". Dette er imidlertid ikke alltid korrekt.
Begrepene plantar fasciopati, plantar fasciitt, plantar fasciosis og hælspore brukes ofte om hverandre. De kan alle føre til lignende smerter under hælen. Det er derfor bedre å bruke betegnelsen plantar hælsmerte. Symptomene kan sammenlignes med de man ser ved en tendinopati.

Beskrivelse av tilstanden
Under fotsålen ligger en seneplate som kalles plantar fascia. Den strekker seg fra undersiden av hælbenet (calcaneus) til tærne. Denne leddbåndsom er svært sterk og gir støtte til hele foten. Når man går eller står på tærne, strekkes leddbåndsom kraftig.
Plantar fasciopati, plantar fascitt og plantar fasciosis
Plantar fasciopati betyr at det er noe galt med plantar fascia. Dersom leddbåndsom er betent, kalles det plantar fascitt. Det er imidlertid ikke alltid tilfellet. Det finnes også en tilstand som heter plantar fasciosis. Dette innebærer at strukturen og kvaliteten på leddbåndsom svekkes, og den blir mer sårbar. Både plantar fasciitt og plantar fasciosis kan gi ubehagelige smerter under hælen ved gange.
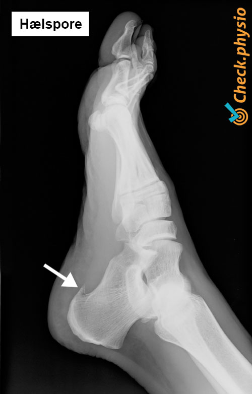
Hælspore
En hælspore er en torneliknende forkalkning der leddbåndsom fester til hælbenet. Forskning viser at de fleste eldre har en hælspore. Dette gir imidlertid ikke alltid symptomer. En hælspore utvikles sannsynligvis ved langvarig trykk på et lite område av hælbenet. Det er en gradvis prosess som har større sjanse for å utvikle seg med alderen.
Overdreven bentilvekst ved en hælspore kan irritere nærliggende strukturer. Noen leger mener at en hælspore i enkelte tilfeller også er en funksjonell tilpasning fra kroppen for å beskytte hælbenet mot overbelastning.
Årsak og opprinnelse
Symptomene oppstår som regel på grunn av overbelastning. For eksempel ved mye (jogging) eller langvarig ståing. Personer med overvekt eller feilstilling i føttene er oftere plaget av hælsmerte. Med økende alder blir hælputen tynnere og mister sin beskyttende funksjon.
Plager og symptomer
Typiske symptomer ved plantar hælsmerte er:
- Smerte under foten ved festet av plantar fascia til hælbenet.
- Trykk på området gjør vondt.
- Smerte ved gange eller ståing.
- Oppstartsmerte etter hvile, for eksempel om morgenen eller etter å ha sittet en stund.
- Å bøye tærne oppover kan forverre symptomene ved å strekke leddbåndsom.
Diagnose
For å stille diagnosen plantar fasciitt spør legen eller fysioterapeuten om plagene og hvordan de har oppstått. Smerter under hælen ved gange og oppstartsmerter er svært karakteristiske symptomer. Ved fysikalsk undersøkelse er det som regel ingen synlige forandringer. Men trykk på senefestet og tøyning av senen gjør vondt. Tilleggsundersøkelser er som regel ikke nødvendige.
Behandling og bedring
Behandlingen av hælsmerter kan være en langvarig prosess. Det er viktig å redusere det overdrevne trykket på hælbeinet. Dette kan gjøres gjennom flere tiltak som vektnedgang, bruk av innleggssåler, redusert (løpe)aktivitet og å unngå å gå barbent.
I tillegg behandles også seneplaten slik at kvaliteten og strukturen forbedres. Dette gjøres ved hjelp av tøye- og styrkeøvelser. Også sjokkbølgebehandling kan være til hjelp.
Noen ganger kan det hjelpe å kjøpe gode sko med en stiv såle. Sålen bøyer seg da ikke under gange, noe som hindrer at tærne bøyes for langt oppover. Dette forebygger ytterligere strekk på leddbåndsom.
Øvelser
Se treningsprogrammet med øvelser for plantar fascitt her.
Mer info
Du kan kontrollere dine plager med den nettbaserte fysioterapisjekken eller bestille en time hos en fysioterapiklinikk i nærheten.
Referanser
Nugteren, K. van & Winkel, D. (2009) Onderzoek en behandeling van de voet Houten: Bohn Stafleu van Loghum.