- Tilstander
- Osgood-Schlatter
Osgood-Schlatter Osgood-Schlatters sykdom
Introduksjon
Ved Osgood-Schlatter er det en ukontrollert vekst av tuberositas tibiae. Dette er kulen på forsiden av skinnebenet, rett under kneet. Man kan beskrive Osgood-Schlatter som en belastningsskade i kneet under vekst.
Osgood-Schlatter forekommer oftest hos gutter mellom 10 og 16 år som er i vekstspurten og driver med idrett. Hos jenter forekommer tilstanden noe sjeldnere og da som regel i alderen 8 til 12 år.

Beskrivelse av tilstanden
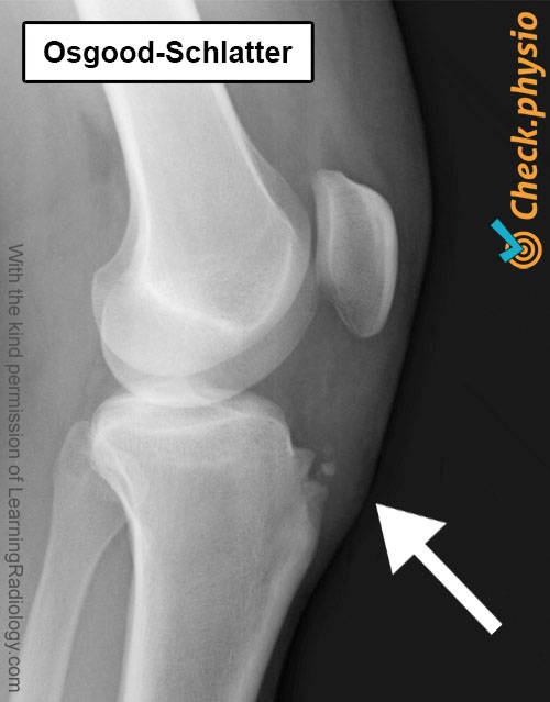
Festet til kneskålens sene på skinnebenet er irritert og betent ved Osgood-Schlatter. På fagspråkkalles dette apofysitt. Dette forårsaker smerte ved festepunktet av kneskålens sene på den harde kulen som ligger rett under kneet på fremsiden. Denne kulen kalles også tuberositas tibiae.
Ofte dannes det etter noen måneder mer beinvev enn normalt på stedet hvor kulen er. Dette skyldes strekkrefter fra senen på beinvevet. Kroppen produserer dermed mer beinvev for å styrke beinet ved seneinnfestningen.
Årsak og opprinnelse
Symptomene starter som regel litt diffust og forverres over tid. Hos barn som fortsatt vokser er kulen ennå ikke helt forbenet. Smerten skyldes den stadig pågående dragningen fra kneskålens sene på den utviklende tuberositas tibiae.
Plagene varierer ofte og oppstår særlig under og etter aktiviteter som innebærer mye løping, hopping eller kneling. For eksempel fotball, friidrett og turn.
Plager og symptomer
Typiske symptomer på Osgood-Schlatter er:
- Kulen der kneskålens sene er festet blir større.
- Det oppstår smerte ved berøring eller kneling.
- Lårets muskler kan føles strammere.
- Å strekke ut kneet mot motstand er smertefullt.
- Det kan forekomme hevelse og lokal varme i det hovne området.
- Smerten er vanligvis mest intens etter fysisk aktivitet.
Diagnose
Diagnosen stilles av lege eller fysioterapeut. Det gjennomføres først en samtale for å finne ut hvordan symptomene har oppstått og hvor de kommer fra. Ved den kliniske undersøkelsen testes festet av kneskålens sene på tuberositas tibiae. Dersom det oppstår smerte ved trykk på kulen eller det finnes en fortykkelse, vil mistanken om Osgood-Schlatter raskt oppstå.
Behandling og bedring
Osgood-Schlatter er vanskelig å behandle. Det er greit å vite at symptomene nesten alltid forsvinner når vekstsonen lukkes. Dette skjer hos gutter rundt 17-årsalderen og noe tidligere hos jenter. Det betyr at symptomene kan vedvare over lengre tid. Beroligende informasjon til barnet og foreldrene er derfor svært viktig.
Det finnes likevel flere tiltak for å lindre plagene. Først og fremst bør man ha (relativ) hvile for å roe ned det smertefulle senefestet. Noen barn tåler lett aktivitet med milde smerter, mens andre må ta helt pause fra idrett ved kraftigere smerter.
Hvileperioden kan kombineres med tøyningsøvelser dersom musklene på forsiden av låret (quadriceps femoris) er forkortet. Dette reduserer belastningen på festepunktet.
Når symptomene tillater det, kan aktivitet gradvis trappes opp igjen. En for rask opptrapping fører ofte til tilbakefall. Fysioterapeuten kan bidra med smertelindring og fremme tilhelingen.
Heldigvis er operasjon sjelden nødvendig. Etter at (smerte)symptomene har forsvunnet, kan det bli igjen en noe større kul enn på det friske kneet.
Øvelser
Følg treningsprogrammet med øvelser for Osgood-Schlatter her.
Mer info
Du kan kontrollere dine plager med den nettbaserte fysioterapisjekken eller bestille en time hos en fysioterapiklinikk i nærheten.
Referanser
Verhaar, J.A.N. & Linden, A.J. van der (2005) Orthopedie Houten: Bohn Stafleu van Loghum.