- Tilstander
- Ankelbrudd
Ankelbrudd Brudd i ankelen
Introduksjon
Ankelens bein kan brekke på forskjellige steder. Et brudd i ankelen, også kalt et ankelfraktur, er nesten alltid et resultat av en ulykke eller fall. Det oppstår umiddelbart sterke smerter og hevelse i ankelen. Å gå er ofte ikke lenger mulig.
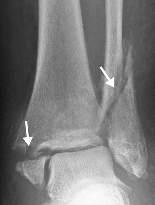
Ankelen består av leggbenet (tibia), leggbenet på utsiden (fibula) og rullebenet (talus). De nedre endene av tibia og fibula danner sammen ankelgaffelen. Rullebenet er omsluttet av disse to beinene. Denne helheten kalles det øvre ankelleddet.

Beskrivelse av tilstanden
Ved en ankelfraktur oppstår det et brudd i ett eller flere bein i ankelen. I mange tilfeller brekker fibula. I alvorlige tilfeller kan bein brekke på flere steder samtidig.
Det finnes ulike måter å klassifisere en ankelfraktur på. Dette kan gjøres basert på skademekanismen (vridning, spark mot benet, etc.) eller etter bruddets plassering.
Klassifisering
En mye brukt inndeling av brudd er den såkalte Weber-klassifiseringen. Den vurderer bruddets plassering. Dette er viktig, fordi det mellom fibula og tibia finnes en bindevevstruktur (kalt syndesmose). Klassifiseringen angir om denne også er revet over eller ikke.
- Weber A: Et lavt brudd i fibula, syndesmosen er intakt.
- Weber B: Et brudd i fibula på høyde med syndesmosen, som sannsynligvis også er (delvis) revet.
- Weber C: Et høyere brudd i fibula hvor syndesmosen også er revet. Det kan også være et brudd i tibia.
Årsak og opprinnelse
Et ankelbrudd oppstår nesten alltid etter en ulykke eller et fall. Et brudd i ankelen kan også oppstå ved en kraftig forstuing eller ved en takling på idrettsbanen. Pasienten hører eller kjenner ofte tydelig at noe brekker.
Plager og symptomer
Plager som hører til et ankelbrudd:
- Sterke smerter i eller rundt ankelen.
- Trykksmerte på det (brukne) beinet.
- Bevegelser i ankelen er smertefulle.
- Ankelen er hoven (bloduttredelse).
- Det er som regel ikke mulig å belaste ankelen fullstendig.
Diagnose
Diagnosen stilles i første omgang basert på fysikalsk undersøkelse og pasientens fortelling. Det brukes såkalte Ottawa ankle rules: dette er retningslinjer som hjelper med å avgjøre om røntgenbilde er nødvendig.
Det vurderes trykksmerter på bestemte punkter, og om pasienten kan gå noen skritt. Ved mistanke om brudd i ankel eller fot er dette vanligvis synlig på røntgen.
Behandling og bedring
Mange brudd blir satt på plass slik at beinendene ligger riktig. Ved et «pent» brudd er dette ikke nødvendig. Deretter behandles det med gips, vanligvis i 4–6 uker. I alvorlige tilfeller kan en operasjon være nødvendig. Under operasjonen settes bruddstykkene tilbake og festes med skruer og plater.
Etter operasjon følger en periode på 6 uker der benet ikke skal belastes. Deretter trenes bevegeligheten og belastningsevnen opp igjen sammen med fysioterapeut.
Bevegeligheten er som regel betydelig redusert på grunn av gips, men denne er viktig for godt gangmønster og daglig funksjon. Belastningsevnen bygges opp gjennom øvelser og trening til ønsket nivå. Hele rehabiliteringen frem til idrettsnivå kan ta opptil ett år.
Rehabiliteringens varighet avhenger blant annet av bruddtype, antall uker med gips, alder, generell helse og hvilket funksjonsnivå pasienten ønsker å komme tilbake til.
Mer info
Du kan kontrollere dine plager med den nettbaserte fysioterapisjekken eller bestille en time hos en fysioterapiklinikk i nærheten.
Referanser
Cleland, J.A. & Koppenhaver, S. (2011) Netter's orthopaedic clinical examination: an evidence-based approach 2nd ed. Philadelphia: Saunders Elsevier.
Schreuder, H.W.B. (2007) De voet. De basis voor staan en gaan Nijmegen: Thieme.