- Tilstander
- Skulderartrose
Skulderartrose Slitasje i skulderleddet
Introduksjon
Skulderartrose er en mindre vanlig form for artrose. Det er kjent på folkemunne som skulderslitasje. Dette innebærer at brusken forsvinner, noe som fører til smerter og stivhet i skulderen.
Det er egentlig ikke lenger riktig å snakke om skulderslitasje, fordi det ikke handler om slitasje. Vi foretrekker derfor å kalle det skade og tap av leddbrusk i skulderen, eller enkelt og greit skulderartrose.

Beskrivelse av tilstanden
Leddflater i bein er dekket med et tynt lag brusk. Dette gjelder også skulderhodet og leddskålen. Brusken fungerer som en støtdemper og gjør at hodet og skålen glir lett mot hverandre. Ved skulderartrose svekkes bruskens kvalitet. Dette fører til at skulderleddet beveger seg dårligere og mister noe av bevegeligheten. Artrose kan også forårsake smerter.
Artrose deles inn i fire nivåer. I verste fall er brusken helt borte. Ved artrose endrer leddet seg og det kan oppstå betennelse i slimhinnen rundt skulderleddet. Små benete utvekster dannes i kanten av beinet; disse kalles osteofytter.
Årsak og opprinnelse
Artrose er en del av kroppens naturlige aldringsprosess. Nesten alle over 75 år har artrose i ett eller flere ledd, oftest uten symptomer. Med årene forringes kvaliteten på bruskvevet, og skade oppstår. Dette er en naturlig prosess. Skulderartrose forekommer hovedsakelig hos personer over 50 år.
Artrose i skulderen kan også oppstå i yngre alder. Brusken kan for eksempel bli skadet i en ulykke. Artrose kan også utvikles som følge av andre skulderplager, slik som labrumskade, instabilitet eller leddbetennelse. Over tid vil dette kunne føre til feilbelastning av brusken.
Plager og symptomer
Personer med skulderartrose opplever vanligvis smerte og stivhet i skulderleddet. Typiske tegn er:
- Smertefull skulder, spesielt ved bevegelse.
- Startstivhet eller morgenstivhet. Det betyr at plagene er mest uttalt om morgenen eller etter en periode med inaktivitet. Man må «komme i gang» før smertene reduseres.
- Krepitasjoner (kneppelyd eller knasende følelse i skulderen ved bevegelse).
- Redusert bevegelighet i skulderleddet.
Ikke alle symptomene må være til stede, og man kan ha perioder med mer eller mindre plager. Det kan være vanskelig å peke ut nøyaktig hvor smerten sitter.
Diagnose
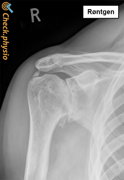
Etter en samtale med lege eller fysioterapeut om plagene, følger en klinisk undersøkelse. Her vurderes skulderens bevegelighet. Ved alvorlige eller uklare symptomer tas det røntgenbilde. Bildet viser innsnevring i leddspalten mellom skulderhodet og -skålen. Eventuell osteofyttdannelse er også synlig.
Behandling og bedring
Tapt brusk kan ikke gjenopprettes. Borte er borte. Det er imidlertid mulig å holde det gjenværende brusket så sunt som mulig gjennom regelmessig og dosert bevegelse. Nedenfor forklarer vi hvorfor det er viktig å holde seg i aktivitet.
Brusk fungerer som en svamp. Ved belastning presses det sammen og avfallsstoffer fjernes. Når trykket avtar, absorberer brusken næringsstoffer. Denne svampeffekten holder brusken i god tilstand. Dette forklarer også hvorfor total hvile er negativt for brusk; svampeffekten utnyttes ikke, noe som gir dårligere utveksling av nærings- og avfallsstoffer.
Med veiledning fra en fysioterapeut kan det utarbeides et treningsprogram for å redusere konsekvensene av artrose. I tillegg brukes ulike teknikker for å bevare skulderens bevegelighet og redusere smerte så langt det lar seg gjøre.
Hvis konservativ behandling ikke gir bedring, kan kirurgi vurderes. Det finnes flere mulige inngrep. Ved alvorlige, tiltagende plager kan man få innsatt en skulderprotese. Resultatene er imidlertid ofte dårligere enn ved hofte- eller kneproteser. Er smerte hovedsymptomet, kan en injeksjon eller smertestillende først prøves.
Øvelser
Et typisk treningsprogram for skulderartrose består av bevegelighets- og styrkeøvelser. Et slikt program kan følges hos en fysioterapeut i nærheten. Vil du heller trene hjemme? Følg da det nettbaserte treningsprogrammet for skulderartrose.
Mer info
Du kan kontrollere dine plager med den nettbaserte fysioterapisjekken eller bestille en time hos en fysioterapiklinikk i nærheten.
Referanser
Boselli, K.J., Ahmad, C.S. & Levine, W.N. (2010) Treatment of glenohumeral arthrosis Am J Sports Med. 2010 Dec;38(12):2558-72.
Verhaar, J.A.N. & Linden, A.J. van der (2005) Orthopedie Houten: Bohn Stafleu van Loghum.
Winters, J.C., Windt, D.A.W.M. van der, Spinnewijn, W.E.M., Jongh, A.C. de, Heijden, G.J.M.G. van der, Buis, P.A.J., Boeke, A.J.P, Feleus, A. & Geraets, J.J.X.R. (2008) NHG-standaard. Schouderklachten Tweede herziening. Huisarts Wet. 2008; 51(11):555-65.
Nugteren, K. van & Winkel, D. (2009) Onderzoek en behandeling van artrose en artritis Houten: Bohn Stafleu van Loghum.