- Tilstander
- Myositis ossificans
Myositis ossificans Beindannelse i en muskel
Introduksjon
Når det dannes bein i en muskel, kalles det myositis ossificans. Dette er som regel et resultat av en muskelskade der en blodutredelse omdannes til benvev. En stor blodutredelse etter en muskelskade fører til myositis ossificans i 10 til 20 % av tilfellene.
Myositis ossificans kan forekomme i enhver muskel, men sees oftest i låret etter fall eller et kraftig støt, for eksempel et kne mot låret. Tilstanden forekommer derfor relativt ofte hos personer som driver med kontaktsport.

Beskrivelse av tilstanden
Myositis ossificans er en tilstand der en muskelskade fører til lokal dannelse av benvev i den aktuelle muskelen. Etter et (alvorlig) slag oppstår det en blodutredelse i muskelen. Kroppen reagerer ved å sette i gang en betennelsesreaksjon i muskelen (myositt). Det kan føre til varme, rødhet, smerte og hevelse. Denne reaksjonen bidrar til reparasjon og opprydning av blodutredelsen. Vanligvis skjer dette raskt og symptomene forsvinner i løpet av noen uker. Men ikke ved myositis ossificans. Her forkalkes blodutredelsen og et lite bein dannes. Dette kalles ossifikasjon.
I prinsippet kan tilstanden oppstå hos alle og i alle aldre. Men myositis ossificans sees oftest hos unge menn mellom 20 og 30 år som driver med kontaktsport.
Årsak og opprinnelse
Beindannelse i musklene oppstår vanligvis etter en muskelskade forårsaket av et kontakttraume. Dette kan for eksempel skje når man får et kne i låret under en fotballkamp. Det finnes også en mer sjelden årsak til myositis ossificans. Den kan også oppstå hos personer som har nedsatt bevegelsesevne, for eksempel på grunn av koma eller lammelse av en kroppsdel.
Som regel leges en muskelskade raskt og ukomplisert. Ved myositis ossificans skjer imidlertid noe spesielt. Den oppståtte blodutredelsen omdannes gradvis til benvev. Prosessen starter ca. én uke etter skaden og er ferdig etter seks til sju uker. Årsaken til denne tilstanden er ukjent, og symptomene kan variere sterkt avhengig av plassering og størrelse på skaden.
Selv om årsaken er ukjent, finnes det flere faktorer som øker risikoen for å utvikle myositis ossificans. Risikoen øker når skaden er alvorlig og leddet muskulaturen går over har sterkt redusert bevegelighet. Massasje og varmebehandling rett etter skaden kan også stimulere beindannelse. Hvorfor noen mennesker utvikler tilstanden og andre ikke, er ikke kjent.
Plager og symptomer
Symptomer som forekommer ved myositis ossificans:
- En hard hevelse i muskelen.
- Økende smerte om natten, ved/etter oppvåkning og under aktivitet.
- Økende bevegelsesbegrensning.
- (Synlig) blåmerke.
Diagnose
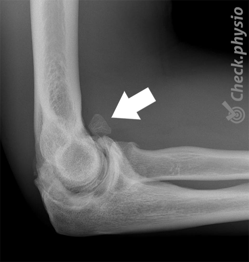
Behandlende lege eller fysioterapeut vil stille spørsmål om problemet. Ved myositis ossificans oppstår symptomene som oftest etter en muskelskade som ikke bedres innen to uker. Ved klinisk undersøkelse er det en hard, smertefull kul i muskelen og nedsatt bevegelighet i leddet/leddene muskelen passerer. På et tidlig stadium viser ikke et røntgenbilde noen unormale funn, men etter tre til fire uker blir tilstanden synlig. En ultralyd kan oppdage tilstanden tidligere.
Behandling og bedring
Når det viser seg å være myositis ossificans, er det lite man kan gjøre for å fremskynde tilheling. Det er en tilstand som som regel går over av seg selv. Kroppen trenger tid for å bryte ned det nydannede, overflødige benet. Denne prosessen starter cirka seks til åtte uker etter muskelskaden.
Tilhelingsforløpet er langsomt og kan ta fra måneder til opptil et år. Behandlingen består derfor hovedsakelig av hvile og tålmodighet. Det kan hende at en liten del av benvevet blir værende igjen i muskelen, uten at det nødvendigvis gir varige plager.
For å holde muskler og ledd i det berørte området myke og bevegelige, anbefales det å gjøre rolige bevegelighetsøvelser og holde seg innenfor smertegrensen. Massasje, tøyeøvelser og intensive aktiviteter frarådes.
Mer info
Du kan kontrollere dine plager med den nettbaserte fysioterapisjekken eller bestille en time hos en fysioterapiklinikk i nærheten.
Referanser
Nugteren, K. van & Winkel, D. (2012) Onderzoek en behandeling van sportblessures. Onderste extremiteit Houten: Bohn Stafleu van Loghum.
Brukner, P. & Khan, K. (2010) Clinical sports medicine McGraw-Hill: Australia. 3e druk.
Brukner, P. & Khan, K. (2016) Clinical sports medicine (Nederlandse bewerking) 4th edition. Michel van Troost. PreVision, Eindhoven.
Torrance, D. A. & deGraauw, C. (2011) Treatment of post-traumatic myositis ossificans of the anterior thigh with extracorporeal shock wave therapy J Can Chiropr Assoc 2011; 55(4).