- Tilstander
- Hallux valgus
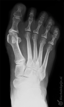
Hallux valgus Feilstilling av stortåen
Introduksjon
En hallux valgus er en vanlig fotlidelse. Det forekommer en feilstilling av stortåen. I tillegg til at dette kan være plagsomt og smertefullt, synes noen pasienter også at det ikke ser pent ut.
Omtrent 33 % av alle voksne har en viss grad av hallux valgus-feilstilling. Det forekommer oftere hos kvinner enn hos menn.

Beskrivelse av tilstanden
Ved hallux valgus peker stortåen skrått innover mot de andre tærne. Mellomfotsbenet rett før stortåen har rotert feil vei (utover). Dette fører til en kul på utsiden av stortåen. Dette kalles en bunion.
Årsak og opprinnelse
Det er ikke helt klart hvordan hallux valgus oppstår. Det kan skyldes medfødte avvik i foten, hypermobilitet i leddene og overdreven innoverrotasjon av foten. Trange sko eller høye hæler synes å øke risikoen for å utvikle hallux valgus.
Tilstanden ses oftere i enkelte familier. I tillegg forekommer hallux valgus relativt ofte ved sykdommer knyttet til leddbetennelser, som for eksempel revmatoid artritt.
Plager og symptomer
Plager som forbindes med hallux valgus:
- Smerte eller problemer med å gå.
- Smerten sitter vanligvis på siden av stortåen.
- Stortåen peker innover (mot de andre tærne).
- Det er en smertefull kul i begynnelsen av stortåen som stikker noe ut på siden. Denne kan bli betent, hovne opp og bli rødt.
- Noen pasienter sliter med å finne passende sko.
- Trange spisse sko eller høye hæler forverrer smerten.
Diagnose
For å stille diagnosen hallux valgus vil legen eller fysioterapeuten spørre om plagene og hvordan de har oppstått. Ved videreutviklet hallux valgus er diagnosen enkel å stille. Stortåen peker da innover, og det er en smertefull kul på siden.
Behandling og bedring
Behandlingen er vanligvis konservativ. Dette betyr at pasienten rådes til å bruke bredere sko med lave eller ingen hæler. Ved hjelp av fotøvelser opprettholdes bevegeligheten i leddet. Med såler eller en nattskinne kan feilstillingen motvirkes.
Ved sterke smerter eller store plager, kan kirurgi vurderes. Under operasjonen korrigerer kirurgen tåens stilling. I alvorligere tilfeller må stortåleddet stives av. Disse inngrepene gir vanligvis gode resultater.
Mer info
Du kan kontrollere dine plager med den nettbaserte fysioterapisjekken eller bestille en time hos en fysioterapiklinikk i nærheten.
Referanser
Verhaar, J.A.N. & Linden, A.J. van der (2005) Orthopedie Houten: Bohn Stafleu van Loghum.
Barg, E.C., Eekhof, J.A.H. & Knuistingh Neven, A. (2008) Hallux valgus Kleine kwaal. Huisarts & Wetenschap. Feb; 51(2):96-98.