- Tilstander
- Hofteartrose
Hofteartrose Coxartrose / bruskskade i hoften / hofteleddslitasje
Introduksjon
Hofteartrose er en vanlig hofteplage. Brusken i hofteleddet blir skadet. Dette fører til at leddet ikke lenger beveger seg jevnt, og hoften blir stiv og smertefull. Plagene kobles ofte til aldring, men kan også forekomme hos yngre.
I dagligtale omtaler man det ofte som "hofteleddslitasje". Men slitasje er ikke et helt dekkende begrep. Kvaliteten og tykkelsen på brusken i hofteleddet forringes.

Beskrivelse av tilstanden
Hofteleddet består av et kuleledd med en leddhode og en leddskål. Begge er dekket av et tynt lag brusk. Dette virker støtdempende og sørger for at benflatene beveger seg jevnt mot hverandre. Ved artrose svekkes brusken i kvalitet. Da blir bevegelsene mindre smidige, og støtdempingen reduseres.
Brusken inneholder ingen nerver. Smertene ved artrose kommer derfor ikke fra brusken, men fra strukturene rundt leddet. Som muskler, sener og ledd kapsel. Disse blir etter hvert også påvirket. Tap av brusk kan derfor føre til kroniske hofteplager.
I mer alvorlige tilfeller forsvinner brusken fullstendig. Benet under brusken endrer seg også. Kroppen reagerer ved å lage ekstra beinvev, såkalt osteofyttdannelse. Det oppstår uvanlige benete utvekster på kanten av leddet. Ved å gjøre leddet bredere fordeles trykket over en større flate. På den måten forsøker kroppen å begrense følgene av artrose.
Årsak og opprinnelse
Pasienter med hofteartrose er som regel over 50 år. Jo eldre man er, jo vanligere blir hofteartrose. Plagene utvikler seg gradvis og har som oftest vært til stede i flere måneder. Til slutt får alle artrose, det er en naturlig del av aldring. Men høyere alder er ikke eneste årsak. Hofteartrose kan også forekomme hos yngre og påvirkes av:
- (Medfødt) feilstilling i hoften.
- Overvekt.
- Røyking.
- Kosthold.
- Redusert muskelstyrke.
- Diabetes (sukkersyke).
- Tidligere leddskader.
- Arvelig disposisjon.
- Kjønn. Hofteartrose forekommer oftere hos kvinner.
Plager og symptomer
Plager ved hofteartrose kan omfatte:
- Stivhet i hofteleddet.
- Smerter i lyske, sete eller øvre lår.
- Morgenstivhet – pasienten trenger tid på morgenen før stivheten avtar.
- Hoftebevegelsen er begrenset i alle retninger.
- Ytterstillinger i passive bevegelser gir en hard motstand (bein-mot-bein kontakt). Dette registreres av fysioterapeuten ved undersøkelse.
- Trykkømhet på fremsiden av hofteleddet.
- Tap av styrke ved sideveis løfting av benet (abduksjon).
Som følge av styrketapet sees ofte Duchennes tegn. Pasienten går med en vaggende gange, der overkroppen heller mot den affiserte siden.
Diagnose
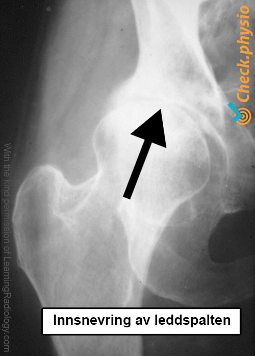
Den kliniske undersøkelsen og pasientens historie er som regel tilstrekkelig for å stille diagnosen. Røntgenbilder tas bare dersom det er tvil om diagnosen eller hvis en operasjon vurderes. Ved artrose viser røntgenbildet en innsnevring av leddspalten. I tillegg kan også andre konsekvenser av artrose være synlige, som dannelse av osteofytter.
Behandling og bedring
Når brusk forsvinner som følge av artrose, kommer det ikke tilbake. Behandlingen fokuserer derfor hovedsakelig på å redusere plagene. Det er særlig viktig å holde seg i bevegelse uten å overbelaste hoften. I tillegg bør livsstilsfaktorer adresseres så langt det lar seg gjøre. For eksempel å slutte å røyke, gå ned i vekt og forbedre muskelstyrken. Fysioterapi er effektivt i behandlingen av hofteartrose.
Når man ikke lenger oppnår bedring, kan kirurgisk inngrep vurderes. Ved alvorlige plager kan en hofteprotese (kunstig hofte) settes inn. Da erstattes lårhalsen og/eller hofteskålen. Dette kan være enten en halv eller en total hofteprotese.
Øvelser
For å motvirke forverring av hofteartrose er det lurt å holde seg i bevegelse og gjøre daglige øvelser. Dette holder brusken i god stand og hoftene i form.
Mer info
Du kan kontrollere dine plager med den nettbaserte fysioterapisjekken eller bestille en time hos en fysioterapiklinikk i nærheten.
Referanser
Nugteren, K. van & Winkel, D. (2009) Onderzoek en behandeling van artrose en artritis Houten: Bohn Stafleu van Loghum.